Восстановление потерянных зубов при помощи вживления имплантов – это распространенная и достаточно популярная техника, способная подарить человеку красивую улыбку и улучшить качество его жизни. Имплант – это протез, изготовленный из специальных стоматологических композитных материалов, имитирующий натуральный зуб с корнем. ООО «Стоматологическая клиника Артиум Дентал Клиник», расположенная в центре Уфы, предоставляет пациентам возможность имплантации в нескольких техниках, с учетом индивидуальных показаний.
Описание стоматологической услуги
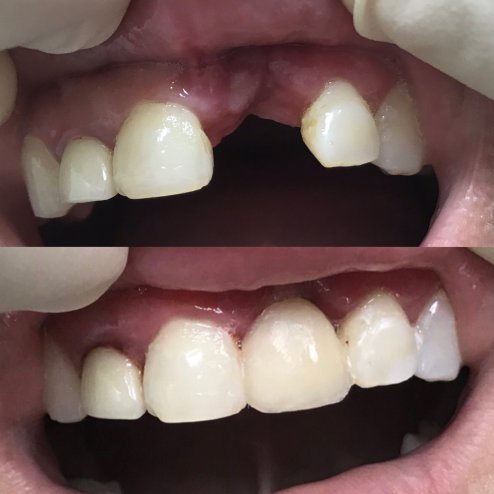
Утрата человеком всего одного зуба приводит к тому, что нарушается эстетика его улыбки и черт лица, а жевательная нагрузка распределяется неравномерно. Как результат, могут начать разрушаться соседние зубы, и со временем придется восстанавливать весь ряд. Кроме того, у человека может появиться шепелявость, излишнее слюнотечение, и при разговоре он непроизвольно будет брызгать слюной.
Больше всего, конечно, страдает ЖКТ – недостаточно пережеванная пища, избыток слюны способны стать раздражителем для желудка и вызвать ряд заболеваний. Человек с большой потерей зубов вынужден есть мягкую пищу, из-за чего десны теряют тонус, а кровоснабжение в них ухудшается.
Центр «Артиум Дентал Клиник» предлагает следующие виды имплантации для верхней и нижней челюстей:
- Одноэтапную. Проведение нескольких этапов восстановления зубного ряда в течение одного дня.
- Двухэтапную. Считается классической техникой, так как проходит в 2 этапа: вживление импланта, а через 2-3 месяца – работа с коронками или протезирование.
- All-on-4+. Установка четырех зубных единиц под низ протеза.
- All-on-6+. Вживление шести стоматологических единиц.
Специалисты клиники занимаются также удалением имплантов по показаниям или их заменой при механических повреждениях. Сам процесс имплантации представляет собой хирургическое вмешательство. В челюстную кость вживляют стоматологическую конструкцию, имитирующую натуральный зуб (например, титановую). С течением времени, после заживления, она сможет полностью выполнять его функции.
Основными показаниями для имплантации, необходимость в которой может возникнуть из-за хронических болезней или травм, считаются:
- Потеря одного зуба.
- Утрата нескольких рядом стоящих зубов.
- Отсутствие зубных единиц в разных местах верхней и нижней челюстей.
- Адентия (окончательная потеря всех зубов).
- Эстетический момент – отсутствие зубов при улыбке.
- Потеря основных жевательных единиц.
- Состояние зубов при пародонтите и пародонтозе.
- Восстановление зуба вместо разрушенного после его удаления.
- Противопоказания к установке съемных протезов, нежелание человека их использовать.
- Атрофические процессы костной ткани.
- Срочное восстановление зубного ряда по врачебным показаниям.
Важным плюсом имплантации является то, что при ее помощи человек сможет решить одновременно несколько проблем. Немаловажная роль которой эстетике и нормальной работе ЖКТ, влияющей на насыщение организма полезными веществами и витаминами. Врачи центра выполняют манипуляции с имплантами быстро и профессионально. Всем пациентам предоставляется гарантия и возможность рассрочки.
Преимущества обращения в клинику
Врачи клиники «Артиум Дентал Клиник» проводят все виды имплантации, в том числе и зубную аутотрансплантацию. В процессе работы применяются различные виды обезболивания, подходящие конкретному пациенту: общий наркоз с закисью азота – лечение во сне, антистресс-хирургия, местная анестезия и т. д.
Преимуществами обращения в клинику считаются:
- Проведение имплантации только после изучения анамнеза и тщательного диагностического обследования.
- Подбор подходящего материала, формы и цвета зубов для каждого пациента в индивидуальном порядке.
- Проведение тщательной санации ротовой полости.
- Использование цифровых 3D-технологий.
- Использование высококачественных стоматологических расходных материалов для работы от ведущих мировых медицинских брендов BioOss, MIS, OsteoBiol и т.д.
- Фотофиксация результата.
Пациенты, которым сделали операции в «Артиум Дентал Клиник», хорошо перенесли восстановительный период, без осложнений, даже в запущенных случаях, когда требовалась пересадка костного блока. Проведение имплантации проходит в комфортных условиях, со строгим соблюдением врачебного протокола и учетом анамнеза пациента.
